Lorenzo Maria Di Giacomo ( Division of Orthopedics and Trauma Surgery, University of Perugia, S. Maria della Misericordia Hospital , S. Andrea delle Fratte, 06156 - Perugia, Italy. )
Muhammad Shahid Khan ( Shah Bhitai Hospital, Hyderabad. )
Luigi Piscitelli ( Division of Orthopedics and Trauma Surgery, University of Perugia, S. Maria della Misericordia Hospital , S. Andrea delle Fratte, 06156 - Perugia, Italy. )
Michele Bisaccia ( Division of Orthopedics and Trauma Surgery, University of Perugia, S. Maria della Misericordia Hospital , S. Andrea delle Fratte, 06156 - Perugia, Italy. )
Auro Caraffa ( Division of Orthopedics and Trauma Surgery, University of Perugia, S. Maria della Misericordia Hospital , S. Andrea delle Fratte, 06156 - Perugia, Italy. )
October 2016, Volume 66, Issue 10
Case Reports
Abstract
Anterior Cruciate ligament (ACL) is a typical athletic injury. One of the most frequent complication after ACL reconstruction is reduced range of motion (ROM) due to the impingement on the inter-condylar notch of a fibrous tissue mass, defined as Cyclops Syndrome. We report the case of a 25 years old male, who underwent reconstruction of ACL with Gracilis-semitendinosus (GR-ST) tendons with delayed onset of loss of knee extension seven years after ACL reconstruction. Clinical and magnetic resonance image (MRI) findings were consistent with Cyclops syndrome. The patient underwent arthroscopy in May 2015, which revealed a fixed fibrous nodule impinging on the inter-condylar notch in extension that was treated by mechanical shaving, radiofrequency ablation remodeling inter-condylar notch and releasing of the ACL transplant. After surgery our patient returned to his routine activities after 5 days and started running about 10 days later, without anterior knee pain and without deficit of hyperextension.
Keywords: Cyclops syndrome; delayed extension block; Anterior Cruciate ligament reconstruction.
Introduction
Anterior cruciate ligament (ACL) injury is a common athletic injury and one of the most commonly treated conditions of the knee. Estimated rate of anterior cruciate ligament reconstruction performed per year in the United States ranges from 60,000 to 175,0001 and in Italy is about 20,000 every year. Related sports which may lead to ACL injury are: soccer, rugby, basket ball, skiing and volley.1 One of the most frequent and challenging complications after ACL reconstruction is limited range of motion (ROM) of the knee, due to impingement on the inter-condylar notch of a pedunculated proliferative fibrous tissue mass, defined as Cyclops syndrome.2,3
Cyclops syndrome was first described by Jackson and Schaefer in 1990 in patients who had undergone anterior cruciate ligament (ACL) reconstruction with a patellar tendon auto graft.4 They reported 13 of 230 (5.7%) patients who underwent patellar auto graft ACL reconstruction who showed a reduction of ROM in full extension and developed an audible and palpable "clunk" with terminal extension. The symptoms of Cyclops syndrome may include anterior knee pain, loss of complete extension or hyperextension, pain during walking or running, an audible clunk near full extension, painful cracking, locking of the knee, stiffness and residual laxity.2,5 Arthroscopic scar excision is usually necessary to regain the extension deficit and alleviate patient\\\'s symptoms. This surgery is recommended if an aggressive rehabilitation programme fails.5-9
We present the case of a patient who underwent reconstruction of ACL with GR-ST tendons allograft, with a delayed onset of loss of knee extension seven years after ACL reconstruction.
Case Report
In May 2015, a 25 years old male athlete, presented with pain over anterior aspect of right knee along with inability to perform full extension of the knee joint. He had history of ACL reconstructions seven years back, using an autologous GR-ST graft that was fixed with screws. The postoperative programme was standard, including isometric exercises, passive motion and proprioceptive training followed by quadriceps and hamstring strengthening. Full weight bearing was allowed after two weeks of partial weight bearing. He regained full ROM and returned to his daily life activities and sport practice. Over the last seven years, he reported multiple episodes of locking without new trauma.
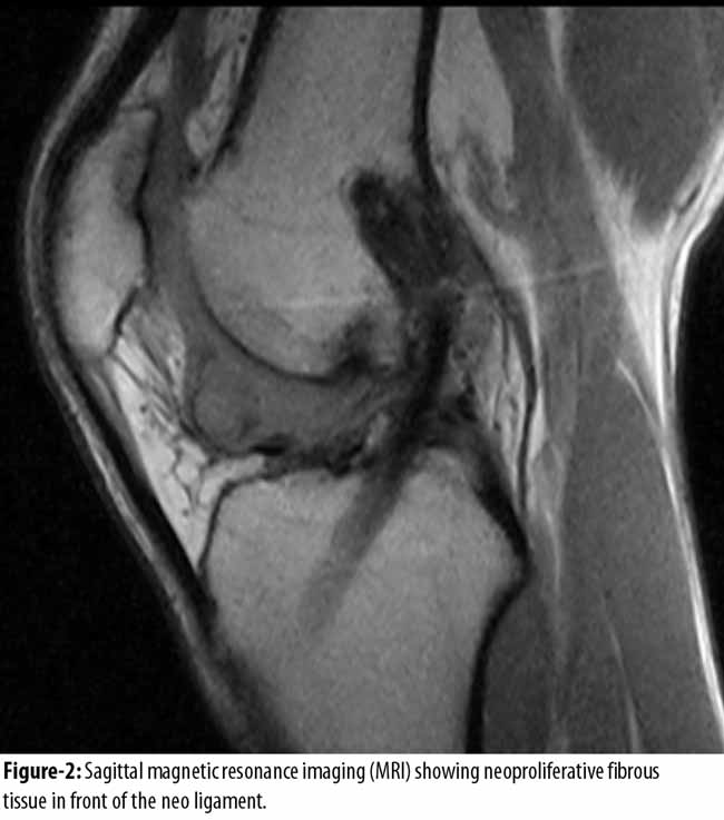
At physical examination, there was no swelling or effusion of the knee. The stability test of knee (Lachman test, Jerk, Pivot Shift, drawer front) were unremarkable and no signs of meniscal tear or cartilage pathology were found. The extension deficit was 7 degrees with pain at terminal extension and deficit of hyperextension. Knee flexion was complete. Magnetic resonance imaging (MRI) was performed which showed slight non-homogeneous signals of the neo-ligament, hyper-intense signals at the external femoral condyle, oedema of the cancellous bone by algodystrophy, degenerative phenomena of both meniscus. Sagittal sections were very suggestive of Cyclops syndrome, with neoproliferative fibrous nodule in front of the neo ligament, producing impingement of the inter-condylar notch (Figure-1 and 2)

The patient underwent arthroscopy in May 2015, which revealed a fixed fibrous nodule adherent anteriorly to the ACL graft and impinging on the inter-condylar notch in extension (Figure-3)
This was successfully treated by mechanical shaving, radiofrequency ablation, remodeling inter-condylar notch and releasing of the ACL graft (Figure-4)
After surgery our patient returned to his routine activities after 5 days and started running about 10 days later, without anterior knee pain and without deficit of hyperextension. Currently he is 5 months post treatment and he is asymptomatic with return to his routine activities.
Patient was informed and written consent was taken for the publication of this information/images regarding his management.
Discussion
The Cyclops syndrome, described in 1990 by Jackson and Schaefer, is characterized by a neo-proliferative fibrous nodule, impinging on the inter-condylar notch when the knee is extended and acting as a mechanical extension block.4 The nodule originates from residual debris left attached to soft tissue during drilling of the tibial tunnel.4 This disease should be considered in differential diagnosis of post-ACL reconstruction anterior knee pain which can be due to improper graft positioning, arthrofibrosis, infra-patellar contracture syndrome (IPCS). Especially in patients with tunnel malposition, impingement of the graft against the inter-condylar notch may result in repeated micro-trauma with ventral fiber breakage and cyclops nodule formation. If an aggressive rehabilitation programme, with emphasis on regaining full knee extension fails, the patient must undergo arthroscopic treatment to solve the problem. With this treatment, patients have a higher level of satisfaction, resolution of knee pain, return of physiological hyperextension (-5°), optimal biomechanical joint movement and restoration of activity levels comparable to that following uncomplicated ACL reconstruction. 5-7,9 However, a cyclops lesion can be found in asymptomatic patients during second look arthroscopy or may develop in patients without evident causes.5,10 Recent studies have failed to identify a single predictive risk factor for this pathology and therefore a multifactorial etiology appears likely.5,9 The postoperative incidence of a cyclops syndrome varies from 1% to 18% with a decline in recent years.10,11
The decrease in incidence of this syndrome is based on minimal invasive surgery, early postoperative mobilization, correct tunnel positioning, accurate removal of residual debris and delayed ACL reconstruction.9,11 Muellner et al10 presented a study of 119 patients who underwent patellar tendon autograft ACL reconstruction. They identified two distinct types of cyclops nodules: true cyclops nodules and cyclopoid scars. According to the authors, these nodules result from two different histo-morphologic processes. True cyclops nodules are hard, contain bone or cartilaginous debris, and are typically associated with clinical cyclops syndrome. Cyclopoid scars, in contradistinction, contain only fibro-proliferative tissue and typically do not cause cyclops syndrome, since the nodule is soft, is compressed by the bone and does not prevent full extension.10 These findings have several important implications. Patients presenting with lack of extension should be evaluated for cyclops nodules. Similarly, patients with cyclops nodules should be evaluated for loss of extension. Not all patients with cyclops nodules will demonstrate loss of extension. The distinction between cyclopoid scars and true cyclops nodules likely explains this difference. A symptomatic extension block typically presents within the early postoperative period after reconstructive ACL surgery but has also been reported in patients with an ACL rupture treated non-operatively.
2,3However, a delayed Cyclops syndrome after ACL reconstruction and after a chronic partial ACL rupture has been described recently.12,13 Irisawa et al12 concluded that the nodule had formed soon after injury but was asymptomatic over years. Based on these findings and on our personal experience we would therefore consider the hypothesis that the nodule had formed during the early postoperative period and became symptomatic only in the last period.
Conclusion
This report emphasizes that a Cyclops syndrome should be considered in the differential diagnosis in patients with a delayed onset of loss of knee extension after ACL reconstruction. A detailed physical examination along with MRI is usually successful to relate patients complaints to a Cyclops syndrome. Arthroscopic scar excision is recommended and should be undertaken if conservative treatment does not restore full range of motion.
Disclosure: None.
Conflict of Interest: The authors declare that there is no conflict of interest regarding the publication of this manuscript.
Funding Sources: None.
References
1.Spindler KP, Wright RW. Clinical practice. Anterior cruciate ligament tear. N Engl J Med. 2008; 359:2135-42.
2.McMahon PJ, Dettling JR, Yocum LA, Glousman RE. The cyclops lesion: a cause of diminished knee extension after rupture of the anterior cruciate ligament. Arthroscopy. 1999; 15:757-61.
3.Tonin M, Saciri V, Veselko M, Rotter A. Progressive loss of knee extension after injury. Cyclops syndrome due to a lesion of the anterior cruciate ligament. Am J Sports Med. 2001; 29:545-9.
4.Jackson DW, Schaefer RK. Cyclops syndrome: loss of extension following intra-articular anterior cruciate ligament reconstruction. Arthroscopy. 1990; 6:171-8.
5.Delince P, Krallis P, Descamps PY, Fabeck L, Hardy D. Different aspects of the cyclops lesion following anterior cruciate ligament reconstruction: a multifactorial etiopathogenesis. Arthroscopy. Arthroscopy. 1998; 14:869-76.
6.Dandy DJ, Edwards DJ. Problems in regaining full extension of the knee after anterior cruciate ligament reconstruction: does arthrofibrosis exist? Knee surgery, sports traumatology, arthroscopy : Knee Surg Sports Traumatol Arthrosc. 1994; 2:76-9.
7.Delcogliano A, Franzese S, Branca A, Magi M, Fabbriciani C. Light and scan electron microscopic analysis of cyclops syndrome: etiopathogenic hypothesis and technical solutions. Knee Surg Sports Traumatol Arthrosc. 1996; 4:194-9.
8.Fisher SE, Shelbourne KD. Arthroscopic treatment of symptomatic extension block complicating anterior cruciate ligament reconstruction. Am J sports med. 1993; 21:558-64.
9.Hasan SS, Saleem A, Bach BR Jr, Bush-Joseph CA, Bojchuk J. Results of arthroscopic treatment of symptomatic loss of extension following anterior cruciate ligament reconstruction. Am J Knee Surg. 2000; 13:201-9.
10.Muellner T, Kdolsky R, Grossschmidt K, Schabus R, Kwasny O, Plenk H Jr. Cyclops and cyclopoid formation after anterior cruciate ligament reconstruction: clinical and histomorphological differences. Knee Surg Sports Traumatol Arthrosc. 1999;7:284-9.
11.Strum GM, Friedman MJ, Fox JM, Ferkel RD, Dorey FH, Del Pizzo W, et al. Acute anterior cruciate ligament reconstruction. Analysis of complications. Clin Orthop Relat Res. 1990; 25:184-9.
12.Irisawa H, Takahashi M, Hosokawa T, Nagano A. Cyclops syndrome occurring after chronic partial rupture of the anterior cruciate ligament without surgical reconstruction.Knee Surg Sports Traumatol Arthrosc. 2007; 15:144-6.
13.Nuccion SL, Hame SL. A symptomatic cyclops lesion 4 years after anterior cruciate ligament reconstruction. Arthroscopy. 2001; 17:E8.
Journal of the Pakistan Medical Association has agreed to receive and publish manuscripts in accordance with the principles of the following committees:




