Hina Inam ( Department of General Surgery, Aga Khan University Hospital, Karachi, Pakistan. )
Sumera Inam ( School of Public Health, Dow University of Health Sciences, Karachi, Pakistan. )
Munaim Tahir ( Department of General Surgery, Aga Khan University Hospital, Karachi, Pakistan. )
October 2016, Volume 66, Issue 10
Case Reports
Abstract
Catamenial pneumothorax (CP) is a rare and complex clinical condition caused by endometrial tissues, commonly found in reproductive women (age 15-49 years).Its diagnosis is often delayed or overlooked by clinicians, which may result in recurrent hospitalizations and other complications. A case of Catamenial pneumothorax is presented of a 38-year-old young married woman, admitted to hospital with signs and symptoms including chest pain and shortness of breath that started with her menstrual period. Right pneumothorax was observed in the Chest x-ray. Patient underwent Video-assisted thoracoscopic surgery (VATS). Patient was kept under observation, and was discharged when stable with no pain.Catamenial pneumothorax is still considered to be a mysterious disease and difficult to diagnose. Surgery is the best treatment.
Keywords: Catamenial, Pneumothorax, Endometriosis.
Introduction
Catamenial pneumothorax (CP) also known as spontaneous pneumothorax; is a lung condition which occurs in conjunction to the menstrual period. It is a rare phenomenonwith unknown causes; and is primarily caused by endometriosis of the pleura, allowing air to enter, the air and blood together causes it to collapse.1
The incidence rate of primary spontaneous pneumothorax is increasing with recurrence rate of 20-60%, with Male to female ratios 2:1.2 CP is very common among women in the reproductive age (15- 49 years) and is seen within 72 hours from the onset of menstrual bleeding.3
Catamenial pneumothorax (CP) is considered a rare condition in medical history.2 Even today, after many years of novel description, the pathophysiology is still poorly understood. Furthermore, in general it is considered to be a mysterious disease, difficult to diagnose and treat.4
We report a case of Catamenial pneumothorax in a young married female. Written informed consent was obtained from the patient. All sorts of human/related material taken as part of the research is in compliance with rules and regulation of the institution and generally accepted guidelines governing such work.
Case Study
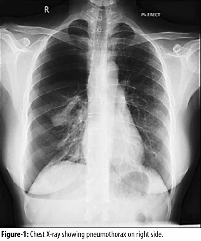
A married woman of 38 years age with two children presented with right sided chest pain, shortness of breath and dry cough. The episode started two days after onset of her menstruation. There was no history of trauma, cough, fever, cigarette smoking or any other chronic lung disease, pelvic or abdominal pain. She was previously in good health, her onset of symptoms coincided with her menstrual period. Chest X-ray revealed right sided pneumothorax with collapsed lung (Figure-1)
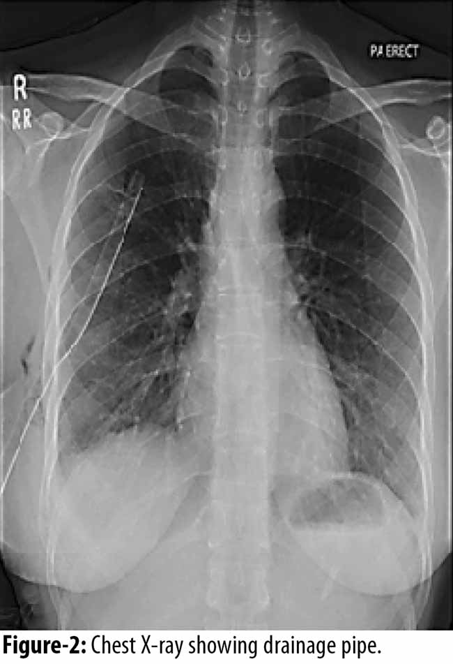
The patient was admitted and right sided tube thoracostomy was done and the chest tube was put on suction followed by chest physiotherapy. A repeat chest x-ray showed re-expansion of lung and gradual resolution of pneumothorax (Figure-2)
To reassure no recurrence of the pneumothorax, the patient was prepared for a Video-assisted thoracoscopic surgery (VATS). After pre-operative anaesthesia, the patient underwent right sided VATS in conjunction with Lung and Diaphragm lesion biopsy and mechanical Pleurodesis. Intra operatively, there were multiple small pores in the diaphragm with small punch lesions, with two suspicious lesions in the middle lobe. Biopsies were sent for test, and chest drains were placed connected to underwater seal drainage bottle. Post operatively patient remained stable. Chest tubes were kept on suction. She was ambulated followed by chest physiotherapy and incentive spirometry to help lungs stay healthy after surgery. The histopathological findings showed reactive mesothelial cells with a few benign glandular strips favouring the clinical impression of Catamenial syndrome too.
She was observed for a few days and was found to be vitally stable and had no episodes of pain, and was discharged home after six days.
Discussion
Endometriosis is the presence of endometrial tissues outside the uterine cavity. Usually it is found in the pelvis but it can occur in any part of body including abdomen, thorax, skin and brain.4 5-10% of women in the reproductive age group are mainly affected by Endometriosis.5
Thoracic endometriosis syndrome is usually defined as presence of clinical thoracic involvement such as pneumothorax, catamenial chest pain, haemothorax and haemoptysis in relation with menstrual cycle but without any histologic evidence.6 However, pneumothorax is the most common presenting feature (70-73%). Pneumothorax can be Catamenial and non Catamenial. Catamenial are more common, accounting for 31-35% whereas, non-Catamenial pneumothorax remains under diagnosed, and is usually identified during surgery for recurrent pneumothorax. Symptoms pertaining to CP usually occur within 72 hours after onset of mensuration. The clinical indications of CP involve impulsive pneumothorax during menstruation, including chest pain (around 90%), dyspnoea and dry cough.3,6 Literature shows that symptoms of CP typically involve the right side.7 Rare cases of left sided and bilateral pneumothorax have also been reported in literature.8
Despite the association between the occurrence of pneumothorax and menstruation, literature lacks unified explanation regarding the pathogens of this syndrome. Many theories have been established to explain the cause of this rare clinical condition. The first is trans-diaphragmatic passage of air to peritoneum from vagina through the fallopian tubes, then to the thorax cavity through diaphragmatic fenestrations and porosities. Absence of cervical mucous plug permits linkage between the peritoneal cavity and outside via the uterine and fallopian tubes. The second is leakage of air activated by sloughing of the endometrial grafts situated on the pleura. The third is about the high levels of prostaglandins during the menstrual period, these high levels cause vascular and bronchiolar vasoconstriction. This leads to traumatic injury, causing alveolar rupture, eventually resulting in leakage of air.9,10
CP is an unusual clinical condition; the initial investigation is a Chest X-ray, which can indicate pneumothorax, assisting the physicians to diagnose it. In some cases, pneumoperitoneum might also be associated with pneumothorax, in such cases high resolution computerized axial tomography (CT) scan of chest might be more helpful in providing insight of the condition.
Literature lacks the knowledge to understand the pathogenesis of this syndrome therefore uncertainty still prevails in terms of the treatment of CP.9 Though, treatment usually provided includes two main principles: Pleural drainage and prevention of recurrence. The drainage of the pleural air could be done with needle thoracostomy followed by thoracostomy tube. Whereas, prevention of recurrences could be done after identifying and confirming the diagnosis of thoracic endometriosis. The quality of diagnosing thoracic endometriosis has improved because of Video Assisted Thoracoscopic Surgery (VATS). Both diagnosis and surgical treatment related to pneumothorax including Catamenial and endometriosis could be easily accomplished through VATS.7
In our case, the patient presented with chest pain, shortness of breath and cough during menstruation, indicating all the classical symptoms of CP. The X-ray revealed a right sided pneumothorax. The patient first went through thoracostomy with some lung physiotherapy and then to stop the recurrence VATS was the procedure of choice, in order to investigate the etiology as well as offer treatment in the form of Pleurodesis. She was kept in observation and then was discharged healthy with no pain.
Conclusion
Catamenial pneumothorax is still considered to be a mysterious disease with obscure diagnosis due to lack of consistent findings.The only temporal relationship that leads to its diagnosis is chest pain and shortness of breath within the menstruation period. The recurrence of thoracic endometriosis can be controlled by early diagnosis and treatment of pelvic endometriosis.
Disclosure: None to declare.
Conflict of Interest: The authors declare no conflict of interest.
Funding Source: None.
References
1.Center ER. Pulmonary Endometriosis: for Women & Girls, 2012. [online] [cited 2015 Jun 10]. Available from: URL: https://www.endocenter.org/ERC%20LUNGS%20SHEET.pdf.
2.Jehangir W, Harman J, Iroka N, Yousif A. Catamenial pneumothorax: A rare cause of recurrent pneumothorax. Inter J Case Reports and Images (IJCRI). 2014; 6:51-5.
3.Peikert T, Gillespie DJ, Cassivi SD. Catamenial pneumothorax. Mayo Clin Proc 2005;80:677-80.
4.Visouli AN, Darwiche K, Mpakas A, Zarogoulidis P, Papagiannis A, Tsakiridis K, et al. Catamenial pneumothorax: a rare entity? Report of 5 cases and review of the literature. J Thorac Dis. 2012; 4:17-31.
5.Woodward PJ, Sohaey R, Mezzetti TP Jr. Endometriosis: Radiologic-Pathologic Correlation. Radiographics. 2001; 21:193-216.
6.Azizad-Pinto P, Clarke D. Thoracic endometriosis syndrome: case report and review of the literature. Perm J. 2014; 18:61-5.
7.Ciriaco P, Negri G, Libretti L, Carretta A, Melloni G, Casiraghi M, et al. Surgical treatment of catamenial pneumothorax.Interact Cardiovasc Thorac Surg. 2009; 8:349-52.
8.Suzuki S, Yasuda K, Matsumura Y, Kondo T. Left-side catamenial pneumothorax with endometrial tissue on the visceral pleura. Jpn J Thorac Cardiovasc Surg. 2006; 54:225-7.
9.Alifano M, Trisolini R, Cancellieri A, Regnard JF.Thoracic endometriosis: current knowledge. The Annals of thoracic surgery. 2006; 81:761-9.
10.Papafragaki D, Concannon L. Catamenial pneumothorax: a case report and review of the literature. J Womens Health (Larchmt). 2008; 17:367-72.
Journal of the Pakistan Medical Association has agreed to receive and publish manuscripts in accordance with the principles of the following committees:




