Hatice Ferhan Komurcu ( Neurology Clinics, Ankara Ataturk Education and Research Hospital, Bilkent, Ankara, Turkey. )
Emel Basar ( Neurology Clinics, Ankara Ataturk Education and Research Hospital, Bilkent, Ankara, Turkey. )
Orhan Kucuksahin ( Rheumatology Clinics, Ankara Ataturk Education and Research Hospital, Bilkent, Ankara, Turkey. )
Ebru Uz ( Neurology Clinics, Ankara Ataturk Education and Research Hospital, Bilkent, Ankara, Turkey. )
Huban Sibel Orhun Yavuz ( Pathology Clinics, Ankara Ataturk Education and Research Hospital, Bilkent, Ankara, Turkey. )
Omer Anlar ( Neurology Clinics, Ankara Ataturk Education and Research Hospital, Bilkent, Ankara, Turkey. )
October 2016, Volume 66, Issue 10
Case Reports
Abstract
We report a case with calciphylaxis very rarely presenting with bilateral optic neuropathy, acral gangrene and visceral ischaemia. Bilateral papilloedaema was found in a 43 year-old female with chronic renal failure. Acral dry gangrene was observed. Pathological examination of her amputated thumb revealed calcification, thrombi, obstructive endovascular fibrotic areas in the walls of arteries. She was diagnosed with calciphylaxis. Bilateral optic neuropathy was defined secondary to calciphylaxis. Abdominal computerized tomography revealed prominent calcifications in mesenteric, spleen and renal arteries. She died eight months after the diagnosis. Calciphylaxis should be considered in the differential diagnosis of the optic neuropathy.
Keywords: Acral gangrene, Calciphylaxis, Case report, Optic neuropathy, Renal failure, Visceral ischemia.
Introduction
Bryant and White defined calciphylaxis (calcific uraemic arteriopathy) for the first time in 1898.1 Calciphylaxis is a rare clinical picture characterized with arterial calcification and progressive peripheral ischaemic necrosis2 generally seen in chronic haemodialysis patients.1 Etiopathogenesis of calciphylaxis has not been clarified yet.3 It is more frequently seen in females, caucasians and in those obese or diabetic patients with liver disease, using systemic corticosteroids or with high levels of serum calcium phosphate products. 1,3,4 Here, we report a case with calciphylaxis very rarely presenting with bilateral optic neuropathy, acral gangrene and visceral ischaemia.
Case Report
Bilateral papilloedaema was found upon evaluating visual impairment of sudden onset in a 43-year old caucasian female patient with chronic renal failure (CRF) on haemodialysis in February 2014. She was diagnosed with optic neuropathy, and her vision deteriorated within three days. Her vision was fully lost in the left eye, and she could perceive only light in her right eye. She was treated with pulse steroid 1000 mg/day for three days. Later, treatment with oral steroids in 1 mg/kg/day dosage was started which was gradually tapered off and stopped by within fifteen days. However, there was no improvement in her vision. No prominent pathologies were found in cerebral magnetic resonance (MR) imaging, MR-angiography, MR-venography and orbital MR studies. Vasculitis markers, C-reactive protein, sedimentation rate, and infection markers were normal. There were basal punctuate calcified areas in the computerized brain tomography. The electroneuromyography study applied to the patient who described pain in hands and feet was compatible with severe sensorimotor polyneuropathy.
Nine months later, peripheral arterial doppler USG was done due to pain in upper and lower limbs and painful wounds in her fingers and toes. No blood flow was seen in both dorsalis pedis arteries, and widespread calcifications were observed in radial, tibial and ulnar arteries. Calcified veins were seen in the plain extremity X-rays. Pentoxifylline and acetylsalicylic acid treatment were administered. In the outpatient clinic visit two months later, she had acral dry gangrene in the first finger of the right hand, and both toes (Figure-1). Within this period, she was given alpha agonist therapy because of hypotensive attacks (particularly during haemodialysis), which was later stopped. The re-examination for vasculitis and anti-phospholipid antibody syndrome and autoimmune parameters were negative. Serum calcium, phosphorus and parathormone levels of the patient were 8.8 mg/dl (8.6-10.0 mg/dl), 12.5 mg/dl (2.5-4.5 mg/dl) and 137 pg/ml (15-65 pg/ml), respectively. Since she had high levels of phosphorus and parathyroidism, she was receiving phosphate binders.
Skin biopsy was performed with the pre-diagnosis of calciphylaxis. However, although calcified areas were suspected in the pathologic examination, it was not diagnostic to evaluate the vascular structures clearly since the sample was not enough.
Ophthalmic examination was repeated. Fundus of the left eye could not be evaluated completely because of cataract opacity. In the right eye, calcified plaques in the vessels were observed (Figure-1)
Reduced blood flow related to the calcified plaques were seen in the doppler ultrasonography (USG) of ciliary arteries.
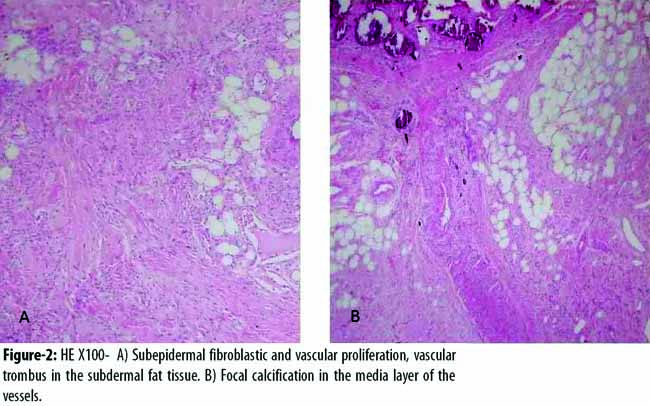
Her acral gangrene advanced gradually. Her first finger in the right hand was amputated. The pathological examination of the amputated tissue showed widespread calcification in the media layer of small and medium arteries, calcium storage areas, intimal hyperplasia, obstructive endovascular fibrosis and micro thrombi (Figure-2)
, all findings were consistent with calciphylaxis. Six months later bilateral partial foot amputation was done because of the acral gangrene. She was diagnosed with anterior ischaemic optic neuropathy secondary to calciphylaxis.
She underwent thyroidectomy in 1997 because of thyroid cancer. Abdominal computerized tomography taken for her abdominal pain showed prominent calcifications in the superior mesenteric artery, splenic artery and renal arteries.
Wounds related to acral gangrenes deteriorated and sepsis developed. This caused her general health status to worsen. She did not improve by the treatments given and died eight months after acral gangrenes appeared.
The daughter of the patient gave the informed consent for this report.
Discussion
Calciphylaxis as a rare pathological and clinical entity generally develops in patients with renal failure, chronic dialysis and multiple factors aggravating arterial calcification and progressive peripheral ischaemic necrosis.4 Skin lesions can appear as enduring nodular painful plaques, purple in colour, necrotic scars, ulcerations or dry gangrene.3 Intestinal, splenic, myocardial and cerebral infarcts can develop with visceral arterial calcifications. Vascular calciphylaxis has a trend for progression and it is difficult to reverse it fully. Calciphylaxis is a clinical picture with very high morbidity and mortality.5 One-year survival rate has been reported as 45.8% and one of the main reasons of death is sepsis.3
Our patient was on haemodialysis because of chronic renal failure for seven years. She was previously operated because of thyroid cancer. She had visceral ischaemia together with calcification in visceral vessels, particularly the enteral vessels. Since cases with calciphylaxis presenting with bilateral optic neuropathy or multiple dry acral gangrene or visceral ischaemia are uncommon in the literature,1 our patient with all of these findings is an extremely rare case.
For our patient, the factors including female sex, caucasian race, chronic renal failure, thyroid malignancy, haemodialysis, high dose of corticosteroid treatment and high serum levels of phosphate and parathormone may have some role for increasing the risk for calciphylaxis. Phosphate binders and other supportive care did not improve the patient, and she died because of sepsis.
On literature review on calciphylaxis, the reported patients have presented generally by cutaneous ischaemia and necrosis in the skin and subcutaneous tissue.2,3 Just a few cases have presented with sudden visual loss5 as seen in our patient. Temporal artery calcification has been reported as the main finding in patients with optic neuropathy and visual loss.5 However, in our patient, the calcified plaques were seen in the doppler USG of ciliary arteries.
The diagnosis of calciphylaxis is mostly delayed or missed and the treatment is generally unsuccessful because of the unclear pathogenesis.5 Early diagnosis and treatment significantly affect prognosis. Treatment requires multidisciplinary approach.1 Treatment with calcium and vitamin D analogs must be avoided, strict control of electrolyte metabolism must be ensured, parathyroidectomy might be carried out, and meticulous surgical intervention and wound care must be given.1,5 Biphosphonates, phosphate binders, cinacalcet and sodium thiosulfate may be used.4
Conclusion
Calciphylaxis cases which present with bilateral optic neuropathy, multiple gangrenes in fingers and toes, visceral ischaemia are very rare. Calciphylaxis should be considered in the differential diagnosis of the optic neuropathy particularly seen in patients with CRF.
Acknowledgement
The daughter of the patient signed an informed consent and authorized the publication of data and photographs of the patient.
Disclaimer: This report was presented as a poster (EP-347) at the 51th National Neurological Congress (between 27.11.2015 - 3.12.2015) in Antalya, Turkey.
References
1.Checherita IA, Smarandache D, R?dulescu D, Peride I, Bratu O, Ciocâlteu A, et al. Calcific uremic arteriolopathy in hemodialyzed patients. Chirurgia (Bucur). 2013; 108:736-40.
2.Brandenburg VM, Cozzolino M, Ketteler M. Calciphylaxis: a still unmet challenge. J Nephrol. 2011; 24: 142-8.
3.Marques SA, Kakuda AC, Mendaçolli TJ, Abbade LP, Marques ME. Calciphylaxis: a rare but potentially fatal event of chronic kidney disease. Case report. An Bras Dermatol. 2013; 88:44-7.
4.Hammadah M, Chaturvedi S, Jue J, Buletko AB, Qintar M, Madmani ME, et al. Acral gangrene as a presentation of non-uremic calciphylaxis. Avicenna J Med. 2013; 3:109-11.
5.Shah MA, Roppolo MW. Calciphylaxis: temporal artery calcification preceding widespread skin lesions and penile necrosis. Case Rep Nephrol. 2012; 2012:309727.
Journal of the Pakistan Medical Association has agreed to receive and publish manuscripts in accordance with the principles of the following committees:




