Muhammad Shahid Khan ( Department of Orthopaedic Surgery, Aga Khan University Hospital, Karachi, Pakistan. )
Shahryar Noordin ( Department of Orthopaedic Surgery, Aga Khan University Hospital, Karachi, Pakistan. )
Pervaiz Mehmood Hashmi ( Department of Orthopaedic Surgery, Aga Khan University Hospital, Karachi, Pakistan. )
March 2016, Volume 66, Issue 3
Original Article
Abstract
Objective: To assess the outcome of volarlocking compression plate fixation for intra-articular distal radius fractures with respect to function of hand and roentgenographic parameters.
Methods: The retrospective study was conducted at the Aga Khan University Hospital, Karachi, and comprised patients who underwent locking compression plate fixation for intra-articular distal radius fractures between June 2009 and July 2012. Case notes, radiographic assessment and functional outcomes were noted. Functional outcome was determined with the help of telephone-based quick-dash score questionnaire administered atleast 6 months post-surgery. Radiological assessment of radial inclination, radial height and volar tilt was measured on immediate postoperative radiographs and then again measured at last available follow-up which ranged from 4 to 116 weeks.
Results: The mean age of the 43 patients in the study was 47.31±14.24 years (range: 20-95 years) at the time of injury. Mean Quick Dash score at 6-month follow-up was 17.2±8.8 (range: 4-40). The outcome was very good in 1(2.2%), good in 30(66.7%), satisfactory in 10(22.2%) and poor in 4(8.9%) patients. Mean immediate postoperative radial inclination, volar tilt and radial height were 17.26±3.23°, 7.6±3.87° and 10.2±1.95mm respectively. Corresponding values at the last follow-up were 17±3.89°, 7.67±4.28° and 9.8±1.8mm.
Conclusion: Use of locking compression plate for intra-articular distal radius fracture showed good results comparable with global literature.
Keywords: Distal radius fracture, Locking compression plate, Outcome. (JPMA 66: 275; 2016).
Introduction
Fractures of distal radius continue to be one of the most common skeletal injuries treated by orthopaedic trauma surgeons. These injuries account for one-sixth of all fractures seen and treated in emergency rooms (ERs).1 The rapid expansion of knowledge regarding the functional anatomy of the hand and wrist, the recognition by treating physicians of the ever increasing functional demands of senior citizens, and improved methodologies of achieving and maintaining anatomic restoration of these fractures have generated a renewed interest in addressing these fractures in a more precise manner. Several investigations have shown that after a distal radius fracture, patients function more effectively when anatomy is restored.2 The normal distal radius articular surface inclines radially with an average angle of 23° in the frontal plane (radial inclination). The joint surface slopes palmar-ward with an average palmar tilt of 12°, which is best appreciated on a true lateral radiograph. Radial height refers to the distance between the tip of the radial styloid process and the distal articular surface of the ulnar head. The average radial height is 12mm. Closed reduction and immobilisation frequently results in secondary displacement of the fragments and alterations in distal radial anatomical parameters.3 It is, therefore, important to reconstruct the joint surface to make it congruent and fix the fragments with adequate stability. Since the first reports of volar locking compression plates, many case series have shown that they are effective devices for fixation of the distal radial fracture.4 Even in the elderly with frail, osteoporotic and impaired bone quality that can limit fracture stabilisation, LCP provides superior stiffness5 and axial loading strength with improved fixation compared to standard plates.6 According to literature, good functional results (95% satisfactory result) can be obtained after LCP fixation of intra-articular distal radius fracture.7
The current study was planned to assess the outcome of LCP fixation of intra-articular distal radius fractures with respect to function of the hand and radiologic parameters.
Patients and Methods
The retrospective study was conducted at Aga Khan University Hospital (AKUH), Karachi, and comprised record of patients from June 2009 to July 2012. All adult patients with closed, intra-articular distalradius fractures with post-reduction articular step of >2 mm; sagittal plane angulation >15° (as measured from the anatomical volar tilted position) were included.8 Skeletally immature patients, as identified by growth plates on X-rays, and those who had neurological illness or other concomitant hand injuries or fractures were excluded. Fractures more than 2 weeks old were also excluded. To eliminate surgeon-related bias, patients in whom bone grafting or bone substitute was used were also excluded from the study.
Using the hospital database, patients were identified for inclusion in the study who were operated by or under the supervision orthopaedic faculty. According to Arbeitsgemeinschaft für Osteosynthesefragen (AO) classification,9 distal radial fractures are classified into extra-aticular (Type A), partially articular (Type B) and complete articular (Type C) fractures. Type C fractures are further classified into simple metaphyseal and simple articular (C1), simple articular and multi-fragmented metaphyseal (C2) and multi- fragmented articular and multi-fragmented metaphyseal (C3). Our study included only type C fractures.
Chinese as well as Synthes locking plates had been used. A standard volar approach through the bed of flexor carpi radialis had been performed in all cases. The patients were followed up by means of case notes, radiographic assessment and functional outcome. Functional outcome was determined with the help of telephone based Quick-DASH (Disabilities of the Arm, Shoulder and Hand) score questionnaire, which was translated in Urdu and administered atleast 6 months post-surgery. Although Quick-DASH score is a very commonly used outcome assessment tool in international orthopaedic literature and it has been translated to different languages but we were not able to get its Urdu version. As most of our patients were more comfortable with Urdu, we used the translated version in all cases. The quick-DASH outcome measure consists of 11self-reported questions designed to measure the ability to perform certain routine activities of upper extremity and it is commonly used to assess pre- and post-intervention difference. In our study, it was impossible to document pre-intervention score because of acute injury, but there have been several studies on similar subject that too have not mentioned pre-intervention scores.7,8 The Quick-DASH score ranges from 0 to 55, with lower numbers indicating a lower level of disability (Table-1).10
Radiological assessment was done on digital radiographs with the help of a computer software (View-pro XV. 4.0.2.4, Rogan delft, Veenendaal, Netherlands) by determining radial inclination, radial height and volar tilt on immediate postoperative radiographs and then at the last available follow-up. We had a range of radiographic follow-up from 4 to 116 weeks. Data was analysed using SPSS 19. Wilcoxon\\\'s signed rank test was used to compare immediate postoperative and final follow-up radiologic parameters.
Results
Initially 45 cases had been identified, with 22(48.8%) in type C1, 17(38%) in C2 and 6(13%)) in C3. Out of these, 2(4.4%) patients had bilateral distal radial fractures and were left out of further analysis. Of the 43 patients that comprised the study sample, 27(62.8%) were men and 16(37.2%) were women with an overall mean age of 47.3±14.24 years (range: 20-95 years) at the time of injury. Patients typically underwent surgery within 1 week (range: 2-12 days) after trauma. All patients were contacted atleast 6 months after surgery. Mean Quick Dash score at 6-month follow-up was 17.2±8.8 (range: 4- 40). The outcome was very good in 1(2.2%), good in 30(66.7%), satisfactory in 10(22.2%) and poor in 4(8.9%) patients. Mean immediate postoperative radial inclination, volar tilt and radial height were 17.26±3.23°, 7.6±3.87° and 10.2±1.95mm respectively. Corresponding values at the last follow-up were 17±3.89°, 7.67±4.28° and 9.8±1.8mm (Table-2).
Wilcoxon signed rank test when applied showed no statistically significant change in the rank of volar tilt, while significant changes in the rank of radial height and radial inclination were noted (Table-3).
We had 12(28%) postoperative complications. There was 1(8%) case of superficial wound infection that responded to oral antibiotic treatment. There were 5(42%) cases of hand paresthesias around the base of thenar eminence in the territory of palmar cutaneous branch of the median nerve. There were 6(50%) cases of extensor tendon irritation secondary to long screw size. All of these responded to non-operative measures. No revision surgeries were required during the follow-up period.
Discussion
Stabilisation of intra-articular fracture of the distal radius is a challenge for the orthopaedic surgeon. Despite numerous published outcome studies, there is no gold standard surgical technique.11 Volar LCPs have shown greater rigidity and superiority when compared to conventional volar or dorsal plates in biomechanical studies.12 Introduction of LCPs in combination with the volar approach has shown a lower complication rate and an increasing popularity in comparison to the dorsal approach. In contrast to conventional plating, LCP fixation stability does not rely on the friction between the implant and the bone; the inherent angular stability of the screw and plate mechanism acts as a single unit to hold and support the bone fragments.13 Therefore, it is not necessary for the fixed-angle locking plate to conform perfectly to the palmar cortical surface of the distal radius. This makes the plate application technique simpler and further preserves the blood supply to the bone fragments, which is crucial for fracture healing.13
Multiple studies have shown good results with use of LCP for distal radius intra-articular fracture with regard to function of hand. Ayhankilic et al.8 reported good or excellent DASH scores in 74% patients, satisfactory in 23% and poor in 3%. Similarly, Figl et al.14 reported good scores with the use of LCP for distal radial. Rozental et al.15 reported 41 patients treated with volar fixed-angle plating for unstable distal radius fractures, with average follow-up period of 17 months. Radiographs in the immediate postoperative period showed a mean radial height of 11mm, mean radial inclination of 21 degrees, and mean volar tilt of 4 degrees. At fracture healing, the above values were 11mm, 21 degrees, and 5 degrees respectively. The average DASH score was 14. Nine patients experienced postoperative complications. There were 4 instances of loss of reduction with fracture collapse, 3 patients required hardware removal for tendon irritation, 1 patient developed a wound dehiscence, and 1 patient had metacarpophalangeal joint stiffness. Luhas k. et al.13 reported 40 cases of intra-articular distal radial fractures managed with LCP with a mean follow-up of 18 months. Four of their cases required surgical revision (1 because of loss of reduction, 2 due to fracture incongruity as seen on the postoperative computer tomogram and 1 case of screw displacement in the radial shaft). Immediate postoperative radiographs showed mean radial inclination of 22.1° and mean volar tilt of 7.2°. At follow-up examination, radial inclination was 23.8° and volar tilt was 6.2°. They had a mean DASH score of 18 points (26 very good, 11 good, 1 satisfactory and 2 poor). Complications were an extensor pollicislongus (EPL) tendon rupture, a tendon irritation and a complex regional pain syndrome in a patient who underwent revision.
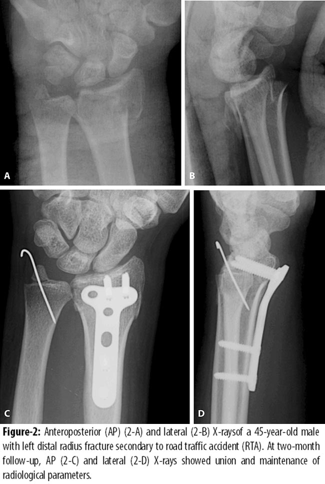
In our study, principle of angular stability was clinically applied by volar placement of locking plate for intra-articular distal radius fractures. Volar approach was preferred to facilitate reduction and plate fixation and to limit the risk of extensor tendon alteration. We evaluated the patients for the recovery of hand function and radiological parameters post fixation with LCP. Our results are consistent with earlier findings in terms of function of hand and radiological outcome.13-16 In most cases effective restoration of anatomic alignment was acquired and maintained (Table-2; Figures-1 and 2) regardless of the direction of fracture angulation.


Limitations of our study included its retrospective design and non-availability of contra-lateral normal wrist X-ray to assess the actual radial height of that particular patient. We also had relatively short follow-up period in our study as we were focusing on midterm functional and radiological outcome only. Because of the retrospective nature of the study, we were also not able to get radiographs of the patients at a fixed follow-up time. Besides, some of the patients, when contacted for telephonic follow-up, had their surgeries done more than 6 months earlier. In such cases the patients were asked to recall their memories regarding ability to perform these basic tasks. Considering the retrospective nature of the study, this was a limitation as well.
Conclusion
Use of LCPs for intra-articular distal radius fracture showed good results we found this modality of fixation especially helpful in comminuted distal radial fractures. Meticulous dissection and careful screw sizing is required to minimise the complications. Studies with longer follow-up are required to assess long-term functional outcome, presence of arthritic changes, number of patients requiring implant removal and cases of implant failure.
Acknowledgements
We are grateful to Dr. Khabir Ahmad for statistical assistance.
References
1. Linscheid RL. Kinematic considerations of the wrist. Clin Orthop Relat Res. 1986; 202: 27-39.
2. McQueen M, Caspers J. Colles fracture: does the anatomical result affect the final function? J Bone Joint Surg Br 1988; 70: 649-51.
3. Solgaard S, Bunger C, Sllund K. Displaced distal radius fractures. A comparative study of early results following external fixation, functional bracing in supination, or dorsal plaster immobilization. Arch Orthop Trauma Surg 1990; 109: 34-8.
4. Downing ND, Karantana A. A revolution in the management of fractures of the distal radius? J Bone Joint Surg Br 2008; 90: 1271-5.
5. Cordey J, Borgeaud M, Perren SM. Force transfer between the plate and the bone: relative importance of the bending stiffness of the screws friction between plate and bone. Injury 2000; 31Suppl 3: C21-8.
6. Voigt C, Lill H. What advantages does volar plate fixation have over K-wire fixation for distal radius extension fractures in the elderly? Unfallchirurg. 2006; 109: 845-54
7. Konstantinidis L, Helwig P, Strohm PC, Hirschmuller A, Kron P, Sudkamp NP. Clinical and radiological outcomes after stabilisation of complex intra-articular fractures of the distal radius with the volar 2.4 mm LCP. Arch Orthop Trauma Surg 2010; 130: 751-7.
8. Kilic A, Kabukcuoglu Y, Ozkaya U, Gul M, Sokucu S, Ozdogan U. [Volar locking plate fixation of unstable distal radius fractures]. Acta Orthop Traumatol Turc 2009; 43: 303-8.
9. Muller ME. The principle of the classification. In: Muller ME, Allgower M, Schneider R, Willenegger H, eds. Manual of Internal Fixation: Techniques Recommended by the AO-ASIF Group. New York, NY: Springer-Verlag; 1991:118.
10. Phadnis J, Trompeter A, Gallagher K, Bradshaw L, Elliott DS, Newman KJ. Mid-term functional outcome after the internal fixation of distal radius fractures. J Orthop Surg Res 2012; 7: 4
11. Chang HC, Poh SY, Seah SC, Chua DT, Cha BK, Low CO. Fragment-specific fracture fixation and double-column plating of unstable distal radial fractures using AO mini-fragment implants and Kirschner wires. Injury 2007; 38: 1259-67.
12. Leung F, Zhu L, Ho H, Lu WW, Chow SP. Palmar plate fixation of AO type C2 fracture of distal radius using a locking compression plate--a biomechanical study in a cadaveric model. J Hand Surg Br 2003; 28: 263-6.
13. Wong KK, Chan KW, Kwok TK, Mak KH. Volar fixation of dorsally displaced distal radial fracture using locking compression plate. J OrthopSurg (Hong Kong). 2005; 13: 153-7.
14. Figl M, Weninger P, Liska M, Hofbauer M, Leixnering M. Volar fixed-angle plate osteosynthesis of unstable distal radius fractures: 12 months results. Arch Orthop Trauma Surg 2009; 129: 661-9.
15. Rozental TD, Blazar PE. Functional outcome and complications after volar plating for dorsally displaced, unstable fractures of the distal radius. J Hand Surg Am 2006; 31: 359-65
Journal of the Pakistan Medical Association has agreed to receive and publish manuscripts in accordance with the principles of the following committees:




