Adeel Ahmed Shamim ( Medical College, Aga Khan University, Karachi, Pakistan. )
Kulsoom Ghias ( Department of Biological and Biomedical Sciences, Aga Khan University, Karachi, Pakistan. )
Mumtaz Jamshed Khan ( Head & Neck Institute, Cleveland Clinic Foundation, Euclid Avenue, USA. Honorary Visiting Faculty, Aga Khan University, Karachi, Pakistan. )
January 2013, Volume 63, Issue 1
Student's Corner
Abstract
Objective: To review the clinical presentations of Juvenile nasopharyngeal angiofibroma surgical approaches used and outcomes of patients at an urban tertiary care centre in Pakistan.
Method: The retrospective study was conducted at Aga Khan University Hospital, Karachi, involving medical records of patients with histologically confirmed Juvenile nasopharyngeal angiofibroma who were treated between 2000 and 2008.
Results: Eighteen male patients were identified, with an average age at diagnosis of 16 5.6 (range 11-28) years. Most patients (n=16; 88.9%) presented with epistaxis. CT scan was the most common (n=17; 94.44%) radiological investigation for staging. Blood supply of the tumour was varied (ipsilateral or bilateral internal maxillary artery). According to Andrews staging, 4 (22.22%) patients presented with stage I disease; 5 (27.77%) with stage II; 4 (22.22%) with stage IIIa; 1 (5.55%) with stage IIIb; and 4 (22.22%) with stage IVb disease. Of the 18 patients, 17 (94.44%) underwent 19 surgical procedures, with a recurrence rate of 10.5% (n=2) and incomplete resection in 15.8% (n=3) procedures. Lateral rhinotomy was the most frequently employed (n=13; 68.42%) surgical approach in the 19 surgical procedures conducted at the AKUH.
Conclusion: Surgery continues to be the mainstay treatment modality. Surgical approach is dependent on various disease factors as well as institutional resources. In situations of limited resources, the condition may still be managed effectively with traditional approaches that result in good functional outcome and low morbidity.
Keywords: Juvenile nasopharyngeal angiofibroma, Surgical intervention, Bleeding. (JPMA 63: 134; 2013)
Introduction
Juvenile nasopharyngeal angiofibroma (JNA) is an uncommon benign tumour of the adolescent male, with an average age at diagnosis of 15 years. The incidence of JNA is ambiguous; some studies estimate it to be 0.5%,1-5 whereas others claim it to be even rarer, having an incidence of 0.05% of all tumours of the head and neck region.6-9 The incidence of JNA in South Asia appears to be greater than in the West.10 Though in Pakistan the exact incidence is not known, patients mainly present from the rural areas of Sindh and Baluchistan.
JNA originates exclusively from the posterolateral wall of the nasal cavity in close proximity to the superior aspect of the sphenopalatine foramen. It is locally aggressive and typically spreads anteriorly into the nasal cavity, inferiorly into the oropharynx, laterally through the sphenopalatine foramen into the infratemporal fossa and superiorly into the orbit via the infraorbital fissures. As the tumour grows, erosion of the contiguous bone takes place, by way of mass compression effects, facilitating extension into maxillary, sphenoid and ethmoid sinuses. From there the tumour may extend intracranially into the anterior, middle cranial fossa.7 The local spread of the disease constitutes the basis of the staging system proposed by Andrews, whereby the tumour is staged with relevance to the anatomical structures invaded.11
The aetiology of JNA is unknown. It might arise from the paraganglionic cells at the end of the maxillary artery; or it might follow the \\\'angiogenic and histogenetic theory\\\'7,12 according to which, the neoplasm is derived from a purely vascular proliferation of a haemangioma, while all other components, such as fibrous stroma, are derived from undifferentiated mesenchyme.
More than 80% of patients present with recurrent epistaxis and unilateral nasal obstruction.1 As the tumour enlarges, specific symptoms occur according to the site involved, such as diplopia and anosmia. Diagnosis, in essence, is based on the history, clinical manifestations, endoscopic evaluation and imaging studies such as computed tomography (CT), magnetic resonance imaging (MRI) and angiography. Manipulation of the tumour leads to profuse bleeding, contra-indicating a pre-operative biopsy.
Surgical resection is the most successful treatment for JNA.4 A range of surgical approaches have been described ranging historically from transpalatal resections to open procedures with lateral rhinotomy, Weber-Ferguson or mid-face degloving, and, more recently, endoscopic resections. Though minimally invasive approaches are now the standard of care for adequately sized and placed tumours, they are not always utilised at centres with limited resources. The decision regarding the type of surgery depends on the site and extent of tumour along with the surgeon\\\'s preference.7 Inappropriate exposure may lead to partial removal of JNA, culminating in a recurrence or massive intra-operative haemorrhage. Other less optimal methods of treatment include chemotherapy and hormonal therapy.9 Pre-operative angiography and embolisation 24-72 hours preceding the operation is recommended to reduce peri-operative haemorrhage.1,13,14
The current study reviewed the clinical presentations, surgical approaches used and outcomes of JNA patients at an urban tertiary care private university hospital in Karachi, Pakistan.
Patients and Methods
The descriptive, retrospective cohort review included patients with histologically confirmed JNA, treated at Aga Khan University Hospital (AKUH) Karachi, between January 2000 and December 2008. A total of 18 patients met the inclusion criteria. Data collected from patient medical records included: age at presentation, presenting symptoms, diagnostic procedures, tumour stage in accordance with the Andrews stating method,11 treatment method, complications and recurrences. No personal or patient-identifying information was retrieved, utilised or disclosed to maintain patient confidentiality.
Data was entered and analysed on SPSS 18. Frequencies and percentages were computed for categorical variances.
Results
All patients were male, aged between 11 and 28 years with an average age of 16 5.6 years. According to the Andrews staging, 4 (22.22%) patients presented as stage I (Figure-1),
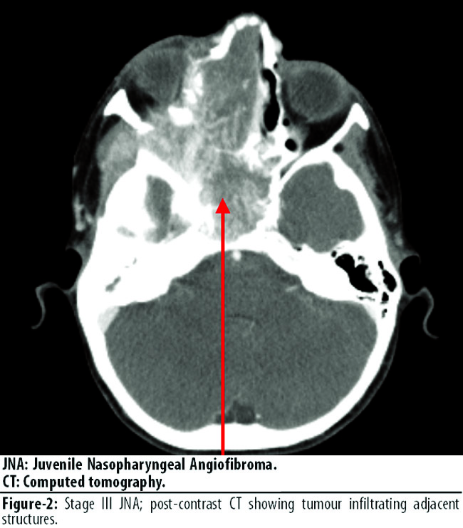
5 (27.77%) patients as stage II, 4 (22.22%) patients as stage IIIa (Figure-2),
1 (5.55%) as stage IIIb, and 4 (22.22%) patients as stage IVb. Tumours with a higher stage presented at an earlier age (Table-1).
The most common presenting symptom was epistaxis (n=16; 88.9%) followed by nasal obstruction (Table-2).
Of the 18 patients, 17 (94.44%) underwent CT as an imaging study; 4 (22.22%) had MRI. All patients underwent angiography and embolisation pre-operatively. Angiography demonstrated 6 (26%) tumours being supplied by ipsilateral internal maxillary artery; 7 (30%) tumours were supplied by both internal maxillary arteries; 5 (22%) tumours, apart from receiving blood supply from the external carotid system, also received blood supply from the internal carotid artery, 3 (13%) were supplied bilaterally; and 2 (9%) unilaterally. One (5.55%) patient with stage IVb also received blood supply from posterior meningeal branches. Blood supply became more involved (from unilateral to bilateral) as the tumour advanced. The percentage of tumours supplied by bilateral blood vessels progressively increased from 25% in stage I to 100% in stage IV. As a consequence of angiography and embolisation, 1 (5.55%) patient developed seizure activity during embolisation, while there were no cerebrovascular accidents.
Three (16.66%) patients (ID# 1, 6 and 14) had undergone prior surgical procedure(s) and had been referred from other hospitals with either recurrence or persistence of disease. Altogether, 17 (94.44%) of the 18 patients were operated upon 19 times at the AKUH. One patient (ID# 18) had an unresectable stage IVb tumour. Following the 19 surgical procedures at AKUH, there were 2 recurrences (patient ID# 6 and 13) and 3 residual tumours (patient ID# 2, 14 and 15), hence, demonstrating an overall 10.5% (2/19) recurrence rate, and 15.8% (3/19) persistence of disease (Table 3).
The two recurrences that occurred were after a combined open lateral rhinotomy and transpalatal approach for stage II tumour (patient ID# 6) and via a Weber-Ferguson medial maxillectomy approach for stage IIIa tumour (patient #13). Residual tumour was identified after a transpalatal approach in stage I, a combined approach of lateral rhinotomy, Weber-Ferguson, medial maxillectomy and temporal craniotomy in stage IIIb (patient #14) and an anterior approach with lateral rhinotomy and Weber-Ferguson in stage IVb (patient #15).
Of the 9 (50%) patients presenting with stage I and II tumours, the initial surgical approach was transpalatal in 3 (33.33%) and lateral rhinotomy in 4 (44.44%). While 2/3 (66%) transpalatal approach patients had a recurrence, only 1/4 (25%) of the lateral rhinotomy patients had recurrence.
A combined approach was used in all surgically-treated stage IV tumours. Only 3 (75%) of the 4 stage IVb tumours were operated upon. Surgical intervention was not pursued in 1 (25%) stage IVb tumour due to its considerable intracranial extension (patient ID# 18). One stage IVb patient (ID# 15) underwent radiation therapy pre-operatively in order to shrink the tumour. Residual tumour was still detected in this patient post-operatively. However, there was no further intervention per patient/family decision. Anterior open approach with lateral rhinotomy and Weber-Ferguson incisions were used in all stage IVb tumours and were adequate in obtaining exposure and managing extensive disease.
There were no significant intra-operative and immediate post-operative complications reported. Long-term surgical morbidity included oro-nasal fistula in 2 (11.76%) patients and nasal obstruction in another 2 (11.76%). Transpalatal approach was used in patients who developed a fistula. The followup period after surgery ranged from 1 month to 36 months. CT was performed at 1, 3 and 9 months of followup, when possible, to rule out recurrence.
Discussion
For stage I and II tumours, the current practice and standard of care is the use of transnasal endoscopic surgery.7,8,15-17 In our review, the early staged tumours were treated by open procedures, primarily because of lack of surgical expertise. These were essentially treated by General Otolaryngologists with limited experience and training in endoscopic sinonasal techniques.
Extensive tumours tend to present at a younger age. This may be attributed to the increased frequency of epistaxis, culminating in earlier consultation. While a study18 describe greater degree of maturation and small number of blood vessels supplying large JNAs, our study revealed expansion in blood supply when the tumour became advanced. In our study, the percentage of tumours supplied bilaterally increased from 25% to 100% as the stage of the tumour progressed from I to IV. All patients were embolised pre-operatively, comparable to literature.19
Reported recurrence rates following treatment of JNA varies between 0 and 55%.16 The 10.5% (2/19) recurrence rate in the present study is less than the rate of 17% (7/42) reported earlier.20 However, in the earlier study, if only the group of patients treated via conventional surgery is taken into account, the recurrence rate was 23% (7/30) as all recurrences resulted from traditional approaches and none endoscopically. Others12 reported a rate of residual tumour of 13.5% (5/37) which is comparable to the 15.8% (3/19) in our study.
Single approach was not only restricted to cases where the angiofibroma was in stage I and II, but also utilised for stage III tumours. A combined approach was employed when the tumour was immensely spread, involving several vital anatomical structures. The major concern in selecting a surgical approach was the amount of exposure offered in the desired anatomical vicinity. Better exposure led to complete extirpation of the tumour, thus minimising the rate of recurrence.
Although this study\\\'s cohort is too small to make a definitive conclusion, results suggest that in stage I and II, JNA\\\'s anterior approach via lateral rhinotomy is superior to transpalatal approach. Two-thirds (66%) of transpalatal approach patients had a recurrence versus 1/4 (25%) of anterior open approach via lateral rhinotomy. Although the lateral rhinotomy patient (ID# 6) also had a second recurrence following combined transpalatal and lateral rhinotomy surgical approach, we recommend that transpalatal technique should not be employed as not only are recurrence rates higher, but palatal dehiscence and fistula rates are significant post-operatively.1 This is in agreement with literature21 that has reported that transpalatal approach provides poor exposure leading to greater chances of recurrence. Other authors have advocated that transpalatal approach is beneficial for tumours confined to the nasopharynx, as proper exposure is offered with minimum complications.14,16,22 Again, this has changed with the advent of endoscopic sinonasal surgery. Endoscopic surgery has several advantages over the conventional open surgical approach, such as less amount of blood loss, shorter operating time, no disruption in facial skeleton, no facial scars and low post-operative morbidity.15
A multi-disciplinary approach is advised for stage III and IV tumours.3 Medial maxillectomy used in conjunction with either lateral rhinotomy or Weber-Ferguson will provide adequate exposure for complete extirpation of stage IIIa tumours. As stated by a study,16 medial maxillectomy allows access to tumours in nasopharynx, orbit and Infratemporal fossa. Similarly, another study1 showed that medial maxillectomy affords access to tumours in Infratemporal fossa and cavernous sinus. In addition, mid-facial degloving approach can be used. Study3has demonstrated successful results using mid-facial degloving approach, advocating this as the preferred soft tissue approach giving satisfactory access to JNAs and being aesthetically acceptable. Excision of stage IIIb tumours requires a craniofacial approach due to its intracranial extension and thus a combined technique needs to be formulated. In the present study, there was only one patient (ID# 14) with stage IIIb disease. This patient had two previous recurrences prior to referral to our centre and had residual tumour after intervention at AKUH. It can be assumed that lateral rhinotomy alone may not provide sufficient exposure for stage IIIb tumours as illustrated in an earlier study12 which showed that one stage IIIb patient had residual tumour when operated upon by this approach. Our study demonstrated that lateral rhinotomy used in combination with Weber-Ferguson is a useful technique in completely resecting intracranial stage IVb tumours.
Surgical excision of extensive intracranial stage IV angiofibroma is associated with high mortality. A study17 showed that in 9 surgically-operated stage IVb cases, 4 recurred, giving a recurrence rate of 44.4%. One study2 utilised lateral rhinotomy approach and were able to completely resect 11 of 14 (78%) tumours. Due to the retrospective nature of the study, the insufficient number of tumours in certain stages (IIIb and IVa) and limited followup, it was not feasible to ascertain the outcome of the various approaches. We suggest that all the above mentioned approaches be compared with a larger cohort.
Conclusion
The study illustrates that aggressive tumours presented at an earlier age. In this era of minimally invasive surgery, endoscopic approaches are the standard of care and should be utilised, especially for early-stage disease. However, in situations of limited surgical resources, JNA is still operable through traditional open approaches with lateral rhinotomy, Weber-Ferguson and medial maxillectomy, with limited morbidity and successful functional outcomes.
Acknowledgement
We are grateful to Dr. Basit Salam for his help in the acquisition of the CT scan images.
References
1. Yiotakis I, Eleftheriadou A, Davilis D, Giotakis E, Ferekidou E, Korres S, et al. Juvenile nasopharyngeal angiofibroma stages I and II: a comparative study of surgical approaches. Int J Pediatr Otorhinolaryngol 2008; 72: 793-800.
2. Danesi G, Panizza B, Mazzoni A, Calabrese V. Anterior approaches in juvenile nasopharyngeal angiofibromas with intracranial extension. Otolaryngol Head Neck Surg 2000; 122: 277-83.
3. Singh A, Gunny R, Dunaway D, Hertley B. Juvenile nasopharyngeal angiofibroma involving the cavernous sinus: Does surgery have a role? Int J Pediatr Otorhinolaryngol Ext 2008; 3: 128-31.
4. Khalifa MA, Ragab SM. Endoscopic assisted antral window approach for type III nasopharyngeal angiofibroma with infratemporal fossa extension. Int J Pediatr Otorhinolaryngol 2008; 72: 1855-60.
5. Coutinho-Camillo CM, Brentani MM, Nagai MA. Genetic alterations in juvenile nasopharyngeal angiofibromas. Head Neck 2008; 30: 390-400.
6. Fonseca AS, Vinhaes E, Boaventura V, Andrade NA, Dias LA, Medeiros V, et al. Surgical treatment of non-embolized patients with nasoangiofibroma. Braz J Otorhinolaryngol 2008; 74: 583-7.
7. Ahmad R, Ishlah W, Azilah N, Rahman JA. Surgical Management of juvenile nasopharyngeal angiofibroma without angiographic embolization. Asian J Surg 2008; 31: 174-8.
8. Tang IP, Shashinder S, Gopala Krishnan G, Narayan AN. Juvenile nasopharyngeal angiofibroma in a tertiary centre: ten-year experience. Singapore Med J 2009; 50: 261-4.
9. Bales C, Kotapka M, Loevner LA, Al-Rawi M, Weinstein G,Hurst R, et al. Craniofacial resection of advanced juvenile nasopharyngeal angiofibroma. Arch Otolaryngol Head Neck Surg 2002; 128: 1071-8.
10. Ahmed Z, Mutiullah S, Rahim D, Marfani MS. Juvenile Nasopharyngeal Angiofibroma: Stage and Surgical Approach. JLUMHS 2009; 80: 37-40.
11. Andrews JC, Fisch, Valavanis A, Aeppli U, Makek MS. The surgical management of extensive nasopharyngeal angiofibromas with the infratemporal fossa approach. Laryngoscope 1989; 99: 429-37.
12. Hosseini SM, Borghei P, Borghei SH, Ashitani MT, Sheikhoda A. Angiofibroma: an outcome review of conventional surgical approaches. Eur Arch Otorhinolaryngol 2005; 262: 807-12.
13. Nicolai P, Berlucchi M, Tomenzoli D, Cappiello J, Teimarchi M, Maroldi R, et al. Endoscopic surgery for juvenile angiofibroma: when and how. Laryngoscope 2003; 113: 775-82.
14. Unsal Tuna E, Karaca C, Kaymakci M, Ozbek C, Ozdem C. Transpalatal approach in juvenile nasopharyngeal angiofibroma. Kulak Burnum Bogaz Intis Derg 2007; 17: 7-12.
15. Andrade NA, Pinto JA, Nóbrega MO, Aquiar JE, Aguiar TF, Vinhaes ES. Exclusively endoscopic surgery for juvenile nasopharyngeal angiofibroma. Otolaryngol Head Neck Surg 2007; 137: 492-6.
16. Fagan JJ, Snyderman CH, Carrau RL, Janecka IP. Nasopharyngeal angiofibromas: selecting a surgical approach. Head Neck 1997; 19: 391-9.
17. Carrillo JF, Maldonado F, Albores O, Ramirez-Ortega MC, Onata-Ocana LF. Juvenile nasopharyngeal angiofibroma: clinical factors associated with recurrence, and proposal of a staging system. J Surg Oncol 2008; 98: 75-80.
18. Sennes LU, Butugan O, Sanchez TG, Bento RF, Tsuji DH. Juvenile nasopharyngeal angiofibroma: the routes of invasion. Rhinology 2003; 41: 235-40.
19. Bleier BS, Kennedy DW, Palmer JN, Chiu AG, Bloom JD, O\\\'Mallay BW Jr. Current management of juvenile nasopharyngeal angiofibroma: a tertiary center experience 1999-2007. Am J Rhinol Allergy 2009; 23: 328-30.
20. Midilli R, Karci B, Akyildiz S. Juvenile nasopharyngeal angiofibroma: analysis of 42 cases and important aspects of endoscopic approach. Int J Pediatr Otorhinolaryngol 2009; 73: 401-8.
21. Marshall AH, Bradley PJ. Management dilemmas in the treatment and follow-up of advanced juvenile nasopharyngeal angiofibroma. ORL J Otorhinolaryngol Relat Spec 2006; 68: 273-8.
22. Tyagi I, Syal R, Goyal A. Staging and surgical approaches in large juvenile angiofibroma: study of 95 cases. Int J Pediatr Otorhinolaryngol 2006; 70: 1619-27.
Journal of the Pakistan Medical Association has agreed to receive and publish manuscripts in accordance with the principles of the following committees:




